Dermatopathology Review: Case #22
Test yourself with this gold-standard dermatopathology case, curated by leading specialists with decades of experience (including our own Rajendra Singh MD). Check the history, scrutinize the interactive WSI with our viewer, and make your diagnosis. Can you get it? Good luck!
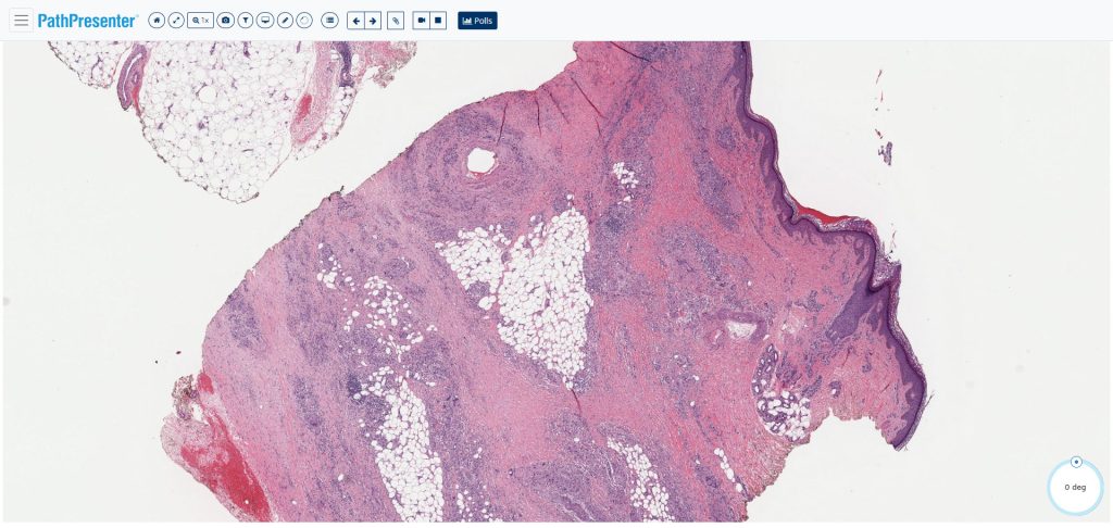
Case #22: History
From our Dermpath 100 Collection
Test yourself on more curated cases, published regularly on this site, or browse thousands of slides and cases from all subspecialties in our free public platform.
